Table of Contents
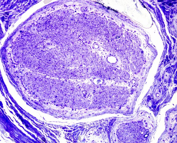
Washington University Experience | PERIPHERAL NEUROPATHY | 11 VASCULITIS - VASCULOPATHY | 3 Vasculitis - NOS | 5F2 Vasculitis (Case 5) Plastic 3
Plastic sections confirm the marked variability of axon density. (plastic sections) ---- Not shown: The CD3 immunostain highlights a population of T lymphocytes; in contrast, CD20 immunoreactivity shows only rare B lymphocytes within the inflammatory infiltrates.
