Table of Contents
Washington University Experience | PERIPHERAL NEUROPATHY | 11 VASCULITIS - VASCULOPATHY | 3 Vasculitis - NOS | 7B1-Recanalized-vessel.jpg
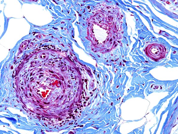
7B1,2 Trichrome stain highlights the thickened and recanalized blood vessels. (trichrome)
