Table of Contents
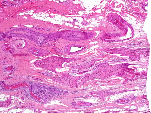
Washington University Experience | PERIPHERAL NEUROPATHY | 11 VASCULITIS - VASCULOPATHY | 3 Vasculitis - NOS | 9A1-Vasculitis-Case-9A-6B.jpg
Case 9 No History (Multiple AFIP cases presented as 9A-E) ---- 9A1 The complexity of the patchy focal vasculitis is well illustrated in this longitudinal section of nerve. (H&E)
