Table of Contents
Washington University Experience | PERIPHERAL NEUROPATHY | 11 VASCULITIS - VASCULOPATHY | 3 Vasculitis - NOS | 9A3-Vasculitis-Case-9A-4.jpg
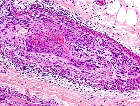
Higher magnification images showing disorganization of the vascular walls and recanalization of the thrombosed vessels. (H&E)
