Table of Contents
« prev
next »
Washington University Experience
|
PERIPHERAL NEUROPATHY
|
11 VASCULITIS - VASCULOPATHY
|
3 Vasculitis - NOS
|
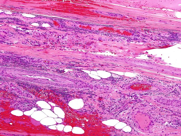
9B-Vasculitis-Case-9B-3.jpg
A congeries of vessels with multiple areas of inflammation. (H&E)
Image Info
Camera Maker:
Olympus Corporation
Camera Model:
DP71
Original Time Taken:
24-07-2008
Shutter Speed:
1/530 sec
ISO Sensitivity:
200
Metering Mode:
Spot
Gallery RSS
|
Archive View
|
Login
|
Powered by
Zenphoto