Table of Contents
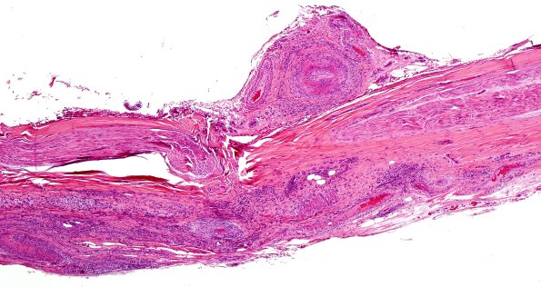
Washington University Experience | PERIPHERAL NEUROPATHY | 11 VASCULITIS - VASCULOPATHY | 3 Vasculitis - NOS | 9C1-Vasculitis-Case-9C-Plastic-4.jpg
9C1,2 Epineurial vessels often exhibit fibrinoid necrosis which is rare in the endoneurium.
