Table of Contents
Washington University Experience | PERIPHERAL NEUROPATHY | 11 VASCULITIS - VASCULOPATHY | 3 Vasculitis - NOS | 9C2-Vasculitis-Case-9C-Plastic-2.jpg
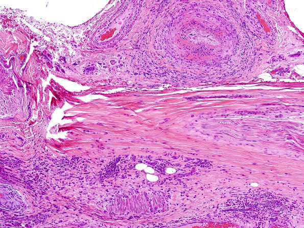
Epineurial vessels often exhibit fibrinoid necrosis which is rare in the endoneurium.
