Table of Contents
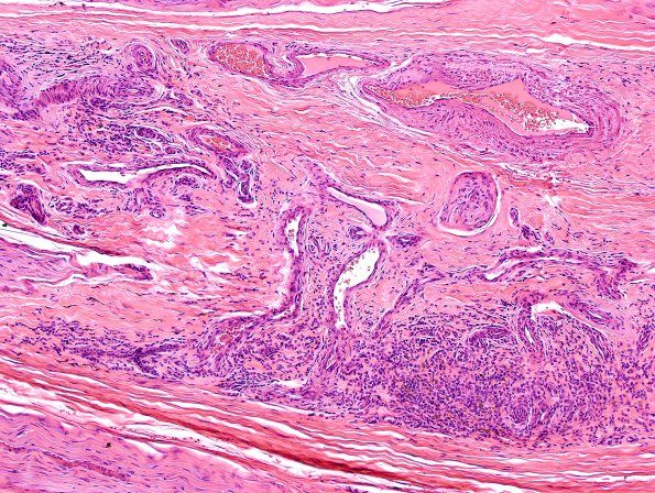
Washington University Experience | PERIPHERAL NEUROPATHY | 11 VASCULITIS - VASCULOPATHY | 3 Vasculitis - NOS | 9D-Vasculitis-Case-9D-Plastic-3.jpg
9D,E Two more cases demonstrating the degree of vascular involvement in the neuropathy. (H&E)
