Table of Contents
* Check/uncheck all *
City
Country
Description
Location/Place
State
Tags
Title
Washington University Experience
|
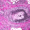
PERIPHERAL NEUROPATHY
|
11 VASCULITIS - VASCULOPATHY
|
3 Vasculitis - NOS (3)
« prev
1
2
3
4
5
6
7
...
13
next »
Gallery RSS
|
Archive View
|
Login
|
Powered by
Zenphoto