Table of Contents
* Check/uncheck all *
City
Country
Description
Location/Place
State
Tags
Title
Washington University Experience
|
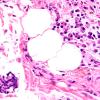
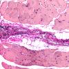
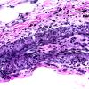
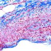
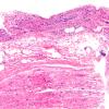
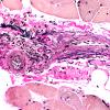
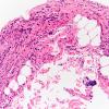
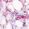
PERIPHERAL NEUROPATHY
|
11 VASCULITIS - VASCULOPATHY
|
5 Eosinophilic (Churg-Strauss)
« prev
1
2
3
4
next »
Gallery RSS
|
Archive View
|
Login
|
Powered by
Zenphoto