Table of Contents
Washington University Experience | PERIPHERAL NEUROPATHY | 11 VASCULITIS - VASCULOPATHY | 1 Normal Vasculature | 10A2 Elastin (Case 10) 40X copy
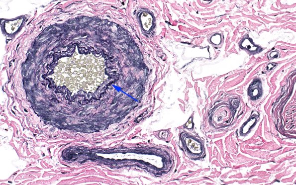
The VVG or elastin stain demonstrates the internal elastic lamina (arrow). (VVG stain)
