Table of Contents
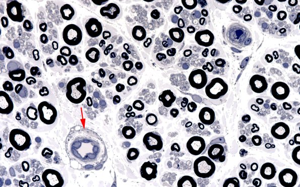
Washington University Experience | PERIPHERAL NEUROPATHY | 11 VASCULITIS - VASCULOPATHY | 1 Normal Vasculature | 11A4 (Case 11) Plastic 100X 2 copy
11A4,5 I think that these are both venules. One example (arrow) appears to be surrounded by a sleeve of perineurium (as a septum). (plastic section)
