Table of Contents
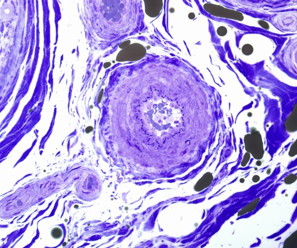
Washington University Experience | PERIPHERAL NEUROPATHY | 11 VASCULITIS - VASCULOPATHY | 1 Normal Vasculature | 12A1 Artery, epineurial (Case 12) Plastic 2
Case 12 History ---- The patient is a 62-year-old woman with no clinical history provided. Operative procedure: Left vastus lateralis and left
sural nerve biopsies. ---- 12A1,2 A nice compact epineurial arteriole. (plastic section)
