Table of Contents



Washington University Experience | PERIPHERAL NEUROPATHY | 11 VASCULITIS - VASCULOPATHY | 1 Normal Vasculature | 12A2 Artery, epineurial (Case 12) Plastic 1

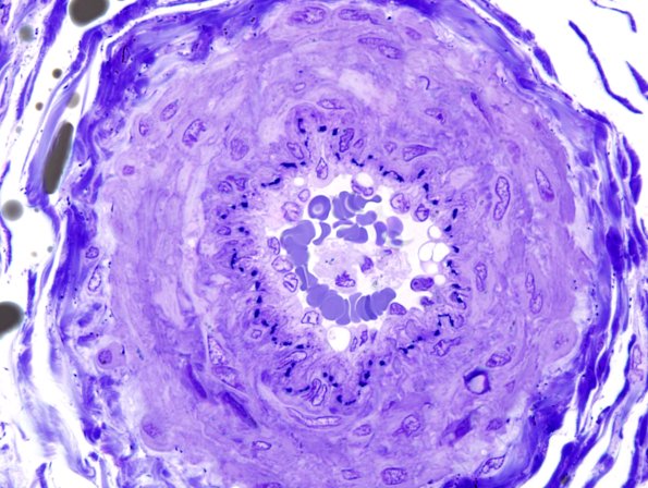
12A2 Artery, epineurial (Case 12) Plastic 1
A nice compact epineurial arteriole. (plastic section)


Gallery RSS RSS Feed | Archive View | Login | Powered by Zenphoto