Table of Contents
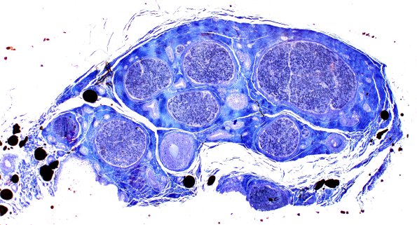
Washington University Experience | PERIPHERAL NEUROPATHY | 11 VASCULITIS - VASCULOPATHY | 1 Normal Vasculature | 14A1 (Case 14) Plastic 4X
Case 14 History ---- The patient is a 45 year old man with a history of neuropathy. He has a 9-12 month history of bilateral burning pain the soles of his feet, worsened by standing and walking and relieved with sitting. An MRI of the spine showed no lesion. Operative procedure: Left sural nerve biopsy. ---- 14A1 A whole mount of the sural nerve with a corona of vessels. (plastic section)
