Table of Contents
Washington University Experience | PERIPHERAL NEUROPATHY | 11 VASCULITIS - VASCULOPATHY | 1 Normal Vasculature | 15A Nerve, vasculature (Case 15) SMA 2
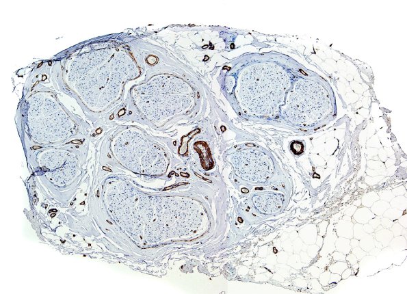
Case 15 History ---- The patient is a 31 year old woman with weakness. Per clinical records, the patient has a history of bilateral foot drop, low back pain, lower extremity weakness, bladder incontinence/accidents, and left upper extremity weakness. Imaging studies have shown anterior listhesis on L5 with involvement of the spinal canal. Operative procedure: Left deltoid muscle and left sural nerve biopsy ---- 15A A whole mount of a sural nerve stained for SMA shows prominent vasculature.. (SMA IHC)
The adjacent section stained with Ulex shows little staining at low magnification
