Table of Contents
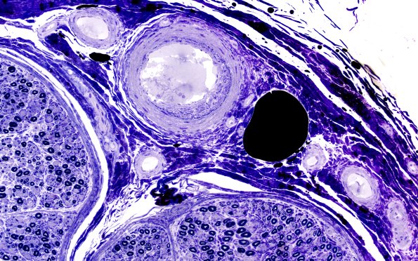
Washington University Experience | PERIPHERAL NEUROPATHY | 11 VASCULITIS - VASCULOPATHY | 1 Normal Vasculature | 16A2 (Case 16) Plastic 40X
The main vessel in this nerve appears to be an arteriole with a hint of subendothelial atherosclerosis. (plastic sections)
