Table of Contents
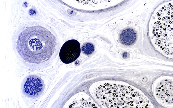
Washington University Experience | PERIPHERAL NEUROPATHY | 11 VASCULITIS - VASCULOPATHY | 1 Normal Vasculature | 2A2 (Case 2) Plastic section 20X 1
In this case the major arteriole is accompanied by numerous venules. (plastic section)
