Table of Contents
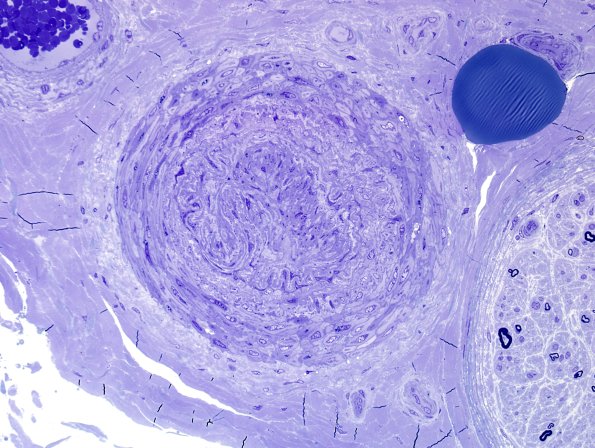
Washington University Experience | PERIPHERAL NEUROPATHY | 11 VASCULITIS - VASCULOPATHY | 1 Normal Vasculature | 3A4-Vessel-telescoped-Case-3B-Plastic-1.jpg
A different case in which the same telescoping artifact is prominent. (Plastic section)
