Table of Contents
Washington University Experience | PERIPHERAL NEUROPATHY | 11 VASCULITIS - VASCULOPATHY | 1 Normal Vasculature | 4A1 Nerve, vasculature (Case 4) SMA 1
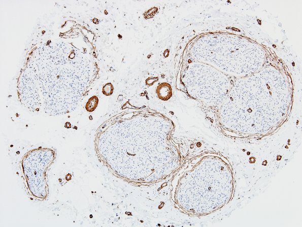
Case 4 History ---- The patient is a 56 year old woman with weakness. Per clinical records the patient has a history of suspected fibromyalgia and rheumatoid arthritis. Operative procedure: Sural nerve biopsy. ---- 4A1,2 Sections of the sural nerve showing the rich vascularity of the epineurium. (SMA IHC)
