Table of Contents
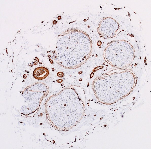
Washington University Experience | PERIPHERAL NEUROPATHY | 11 VASCULITIS - VASCULOPATHY | 1 Normal Vasculature | 4A2 Nerve, vasculature (Case 4) SMA 3
Sections of the sural nerve showing the rich vascularity of the epineurium. (SMA IHC)
