Table of Contents
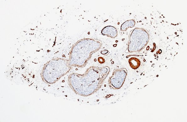
Washington University Experience | PERIPHERAL NEUROPATHY | 11 VASCULITIS - VASCULOPATHY | 1 Normal Vasculature | 4A3 Nerve, vasculature (Case 4) SMA 2
4A3,4 Several magnifications of an epineurial arteriole and several venules contrast with the relative hypovascularity of the endoneurium. (SMA IHC)
