Table of Contents



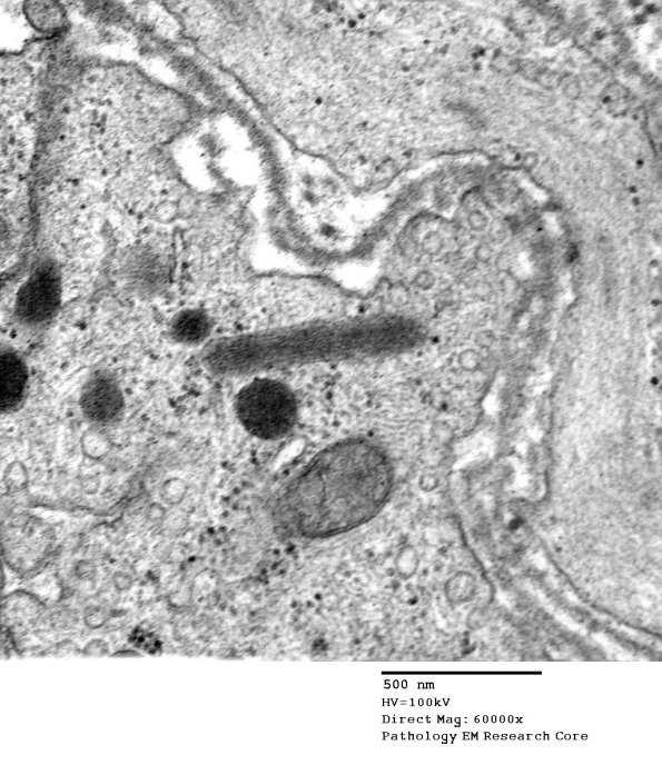
Washington University Experience | PERIPHERAL NEUROPATHY | 11 VASCULITIS - VASCULOPATHY | 1 Normal Vasculature | 5B8-Case-5-EM023A.jpg

5B8-Case-5-EM023A.jpg
A second venule with Weibel-Palade bodies. (electron micrographs)


Gallery RSS RSS Feed | Archive View | Login | Powered by Zenphoto