Table of Contents
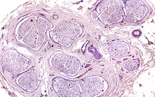
Washington University Experience | PERIPHERAL NEUROPATHY | 11 VASCULITIS - VASCULOPATHY | 1 Normal Vasculature | 6A1 Ulex (Case 6) 10X 2
Case 6 No History --- Operative procedure: Sural nerve biopsy. ---- 6A1,2 The vasculature stained with the endothelial lectin marker Ulex europaeus (Ulex IHC)
