Table of Contents
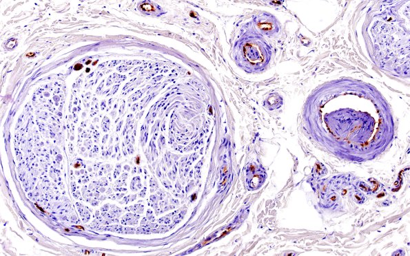
Washington University Experience | PERIPHERAL NEUROPATHY | 11 VASCULITIS - VASCULOPATHY | 1 Normal Vasculature | 6A4 Ulex (Case 6) 20X 1
The endothelial lining is seen in a variety of vessels of different sizes and types. (Ulex IHC)
