Table of Contents
« prev
next »
Washington University Experience
|
PERIPHERAL NEUROPATHY
|
11 VASCULITIS - VASCULOPATHY
|
1 Normal Vasculature
|
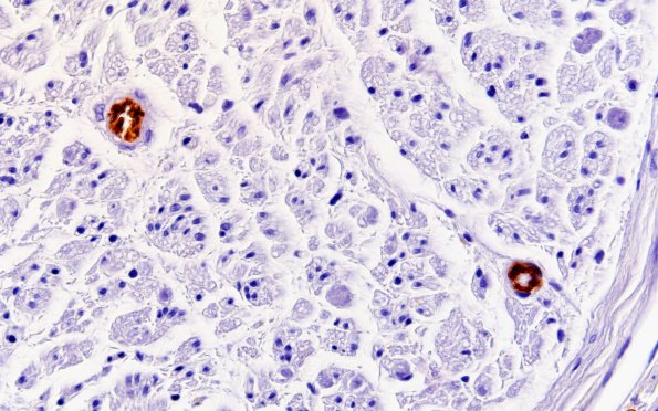
6A6 Ulex(Case 6) 60X 1
The endoneurial vasculature shows prominent staining. (Ulex IHC)
Image Info
Camera Maker:
Olympus
Camera Model:
DP74
Shutter Speed:
1/100 sec
Metering Mode:
Multi-Spot
Gallery RSS
|
Archive View
|
Login
|
Powered by
Zenphoto