Table of Contents
« prev
next »
Washington University Experience
|
PERIPHERAL NEUROPATHY
|
11 VASCULITIS - VASCULOPATHY
|
1 Normal Vasculature
|
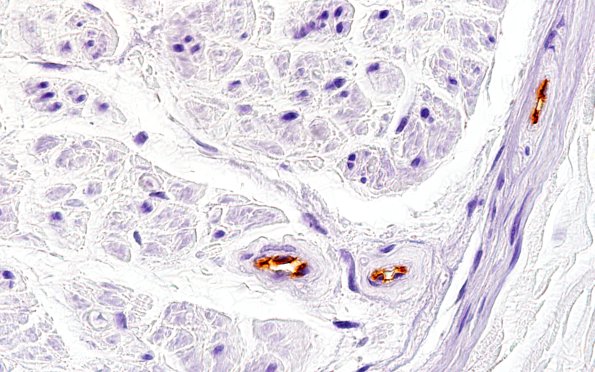
6A7 Ulex (Case 6) 100X 1
The endoneurial vasculature shows prominent staining. (Ulex IHC)
Image Info
Camera Maker:
Olympus
Camera Model:
DP74
Shutter Speed:
35/1341 sec
Metering Mode:
Multi-Spot
Gallery RSS
|
Archive View
|
Login
|
Powered by
Zenphoto