Table of Contents
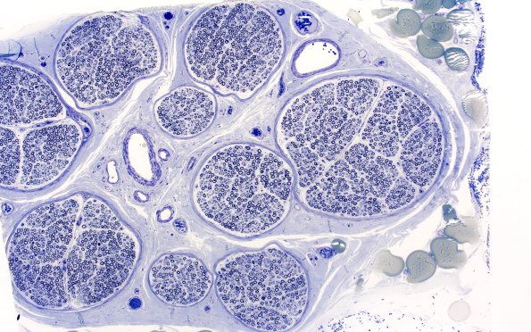
Washington University Experience | PERIPHERAL NEUROPATHY | 11 VASCULITIS - VASCULOPATHY | 1 Normal Vasculature | 7A1 (Case 7) 10X 1
Case 7 No History ---- Operative procedure: Sural nerve biopsy. ---- 7A1 A plastic section of an essentially normal sural nerve shows a variety of epineurial and endoneurial vessels. (plastic section)
