Table of Contents
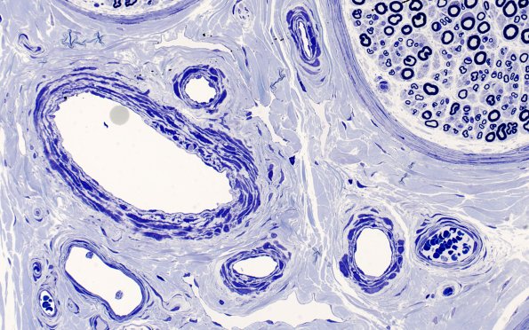
Washington University Experience | PERIPHERAL NEUROPATHY | 11 VASCULITIS - VASCULOPATHY | 1 Normal Vasculature | 7A2 (Case 7) 40X 2
My original take on this image is that all these vessels are most likely venules. (plastic section)
