Table of Contents
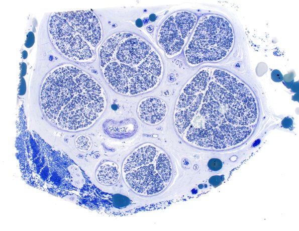
Washington University Experience | PERIPHERAL NEUROPATHY | 11 VASCULITIS - VASCULOPATHY | 1 Normal Vasculature | 7A3 (Case 7) 4X 1
7A3-5 A second level of the same nerve with one large vessel which appears to be the same vessel as shown in image #7A2. (plastic section)
