Table of Contents
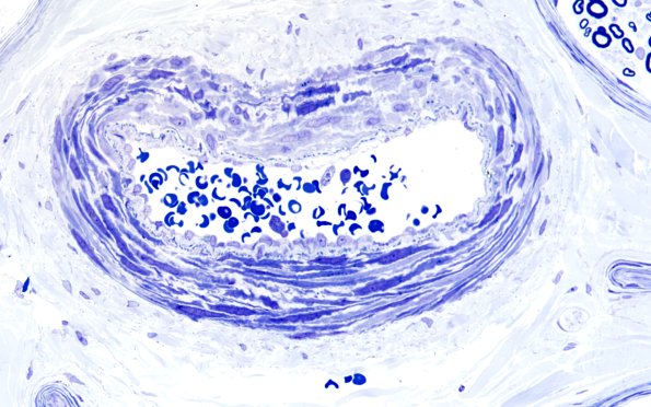
Washington University Experience | PERIPHERAL NEUROPATHY | 11 VASCULITIS - VASCULOPATHY | 1 Normal Vasculature | 7A4 (Case 7) 60X 1
7A4,5 In this image there is a significant internal elastic lamina which is more consistent with an arteriole. (plastic section)
