Table of Contents
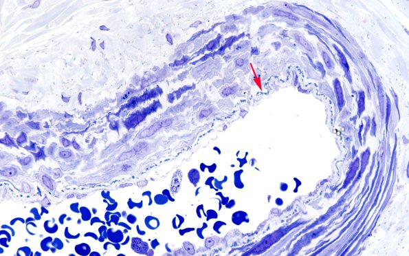
Washington University Experience | PERIPHERAL NEUROPATHY | 11 VASCULITIS - VASCULOPATHY | 1 Normal Vasculature | 7A5 (Case 7) 100X 1 copy
Higher magnification of image #7A3. Notice the partial elastic lamina (arrow). (plastic section)
