Table of Contents
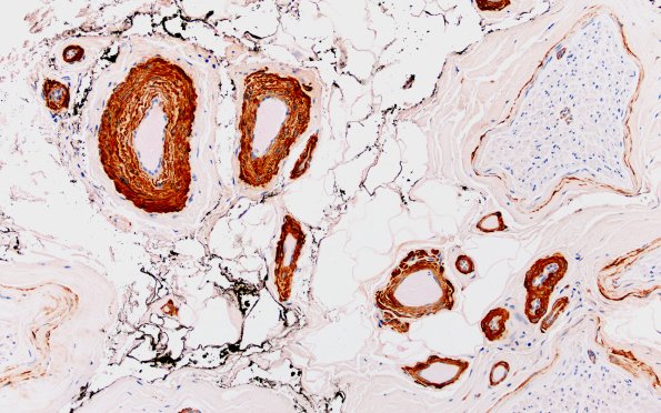
Washington University Experience | PERIPHERAL NEUROPATHY | 11 VASCULITIS - VASCULOPATHY | 1 Normal Vasculature | 8A2 (Case 8) SMA 20X 1
Higher magnification of the epineurial vessels. The two vessels in the left upper portion of this image have an arteriolar structure and the rest appear to be venules. (SMA IHC)
