Table of Contents
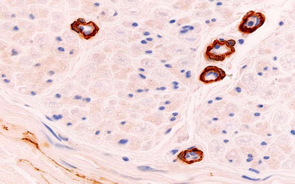
Washington University Experience | PERIPHERAL NEUROPATHY | 11 VASCULITIS - VASCULOPATHY | 1 Normal Vasculature | 8A4 (Case 8) SMA 100X 2
A higher magnification of the endoneurial vessels show the endothelium is unstained and the surrounding smooth muscle cells are strongly reactive. (SMA IHC)
