Table of Contents
Washington University Experience | PERIPHERAL NEUROPATHY | 11 VASCULITIS - VASCULOPATHY | 1 Normal Vasculature | 9A1 (Case 9) 60X 1
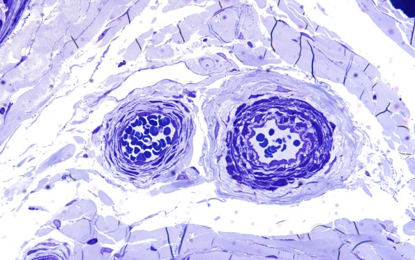
Case 9 No History ---- Operative procedure: Sural nerve biopsy. ---- 9A1 These two epineurial vessels appear to be an arteriole and venule. (plastic section)
