Table of Contents
Washington University Experience | PERIPHERAL NEUROPATHY | 11 VASCULITIS - VASCULOPATHY | 1 Normal Vasculature | 9A2 (Case 9) 20X 1
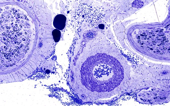
9A2,3 This vessel is more compellingly an arteriole with a prominent internal elastic lamina. (plastic section)
