Table of Contents
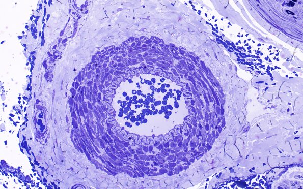
Washington University Experience | PERIPHERAL NEUROPATHY | 11 VASCULITIS - VASCULOPATHY | 1 Normal Vasculature | 9A3 (Case 9) 40X 1
This vessel is more compellingly an arteriole with a prominent internal elastic lamina. (plastic section)
