Table of Contents
Washington University Experience | PERIPHERAL NEUROPATHY | 11 VASCULITIS - VASCULOPATHY | 4 Polyarteritis nodosa | 10A1 PAN (Case 10) Plastic 4X 1
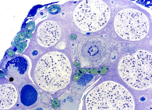
Case 10 No History ---- 10A1,2 Even though the vascular supply is substantially involved with significant fibrinoid angionecrosis, there is little substantive fascicle to fascicle variation in axon density. (plastic section)
