Table of Contents
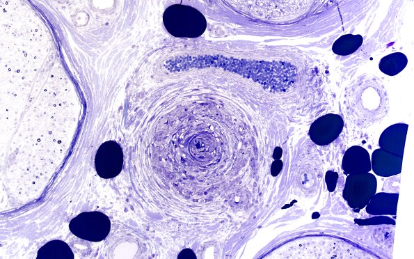
Washington University Experience | PERIPHERAL NEUROPATHY | 11 VASCULITIS - VASCULOPATHY | 4 Polyarteritis nodosa | 10A3 PAN (Case 10) 20X 1
10A3,4 At another level there is minimal fibrin deposition but significant occlusion and injury. (plastic section)
