Table of Contents
« prev
next »
Washington University Experience
|
PERIPHERAL NEUROPATHY
|
11 VASCULITIS - VASCULOPATHY
|
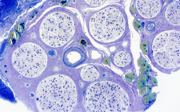
4 Polyarteritis nodosa
|
10A5 PAN (Case 10) Plastic 4X 2
At still another level there appears to be little abnormal. (plastic sections)
Image Info
Camera Maker:
Olympus
Camera Model:
DP74
Shutter Speed:
29/47541 sec
Metering Mode:
Multi-Spot
Gallery RSS
|
Archive View
|
Login
|
Powered by
Zenphoto