Table of Contents
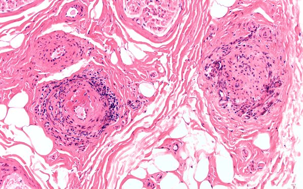
Washington University Experience | PERIPHERAL NEUROPATHY | 11 VASCULITIS - VASCULOPATHY | 4 Polyarteritis nodosa | 11A2 PAN (Case 11) H&E 2X 1
Low magnification images of the sural nerve in this case. Various magnifications of the vasculature of the sural nerve. (H&E)
