Table of Contents
« prev
next »
Washington University Experience
|
PERIPHERAL NEUROPATHY
|
11 VASCULITIS - VASCULOPATHY
|
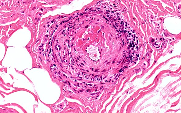
4 Polyarteritis nodosa
|
11A3 PAN (Case 11) H&E 40X 1
Ongoing fibrinoid vascular necrosis dominates one vessel. (H&E)-3
Image Info
Camera Maker:
Olympus
Camera Model:
DP74
Shutter Speed:
29/6250 sec
Metering Mode:
Multi-Spot
Gallery RSS
|
Archive View
|
Login
|
Powered by
Zenphoto