Table of Contents
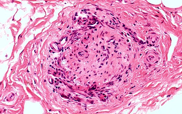
Washington University Experience | PERIPHERAL NEUROPATHY | 11 VASCULITIS - VASCULOPATHY | 4 Polyarteritis nodosa | 11A4 PAN (Case 11) H&E 40X 2
This thrombosed vessel shows a corona of small proliferated vessels surrounding the large vessel.
