Table of Contents
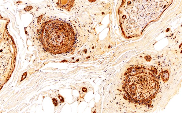
Washington University Experience | PERIPHERAL NEUROPATHY | 11 VASCULITIS - VASCULOPATHY | 4 Polyarteritis nodosa | 11B2 PAN (Case 11) SMA 20X
The vessels shown in the H&E stained sections reveal marked disorganization in this SMA immunostain. (SMA IHC)
