Table of Contents
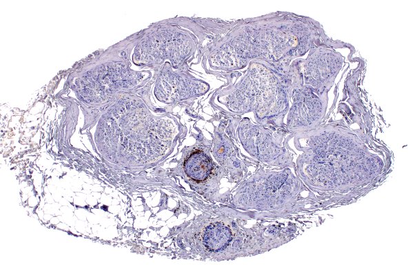
Washington University Experience | PERIPHERAL NEUROPATHY | 11 VASCULITIS - VASCULOPATHY | 4 Polyarteritis nodosa | 11C1 PAN (Case 11) CD45 4X
11C1-3 Leukocyte common antigen immunohistochemistry demonstrates a persistent perivascular inflammatory infiltrate. (CD45 IHC)
