Table of Contents
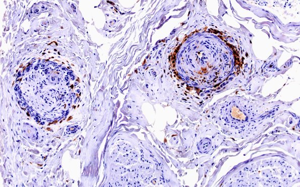
Washington University Experience | PERIPHERAL NEUROPATHY | 11 VASCULITIS - VASCULOPATHY | 4 Polyarteritis nodosa | 11C2 PAN (Case 11) CD45 20X
Leukocyte common antigen immunohistochemistry demonstrates a persistent perivascular inflammatory infiltrate. (CD45 IHC)
