Table of Contents
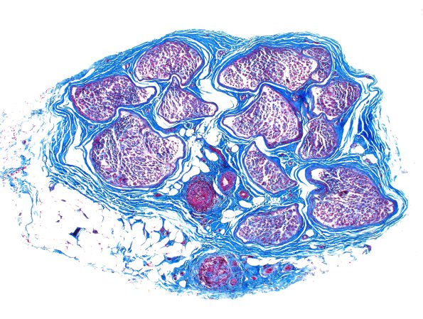
Washington University Experience | PERIPHERAL NEUROPATHY | 11 VASCULITIS - VASCULOPATHY | 4 Polyarteritis nodosa | 11D1 PAN (Case 11) TRI 4X
11D1,2 The residual vessel shows scars within the original vascular media which are rearranged around recanalized vessels. (Trichrome)
