Table of Contents
Washington University Experience | PERIPHERAL NEUROPATHY | 11 VASCULITIS - VASCULOPATHY | 4 Polyarteritis nodosa | 12A1 PAN (Case 12) H&E 4X 1
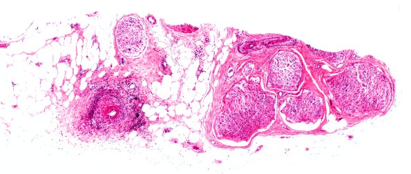
Case 12 History ---- The patient is a 76 year old woman with peripheral neuropathy. Operative procedure: Right sural nerve biopsy. ---- 12A1,2 Fibrinoid necrosis of the sural nerve in this case. (H&E)
