Table of Contents
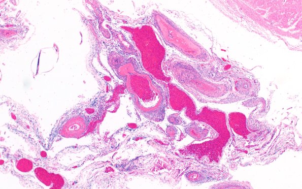
Washington University Experience | PERIPHERAL NEUROPATHY | 11 VASCULITIS - VASCULOPATHY | 4 Polyarteritis nodosa | 13B2 PAN (Case 13) H&E 4X 2
12B2-4 Successively increase magnification of the vasculature shows prominent fibrinoid necrosis of most of the vessels. (H&E)
