Table of Contents
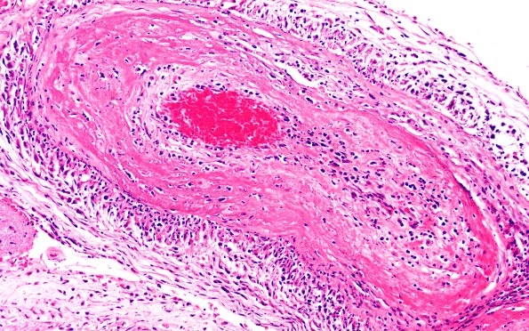
Washington University Experience | PERIPHERAL NEUROPATHY | 11 VASCULITIS - VASCULOPATHY | 4 Polyarteritis nodosa | 13B4 PAN (Case 13) H&E 20X 3
Successively increase magnification of the vasculature shows prominent fibrinoid necrosis of most of the vessels. (H&E)
